Что представляют собой моноциты?

Клетки моноциты — это ничто иное, как крупные лейкоциты. В первую очередь следует разобраться, за что отвечают клетки данного типа. Основные их функции заключаются в том, чтобы обеспечивать защиту человеческого организма от инородных клеток, очищая кровь от физических агентов. Моноциты имеют возможность поглощать не только части чужеродных микроорганизмов, но и их целиком.
Данные клетки находятся также в лимфоузлах и тканях, не только в крови.
Важно! Моноциты осуществляют очистку организма. Основной функцией данных клеток является создание определенных условий, при которых в тканях запускаются процессы регенерации. Такая функция активизируется, если ткани были повреждены чужеродными организмами, вследствие перенесенных воспалительных процессов и поражений, вследствие развития опухолей.
Что такое моноциты
Моноцитарные клетки, как и другие клетки крови, обеспечивают действие иммунной системы организма методом очищения воспалительного очага от погибших клеточных элементов. Моноциты (monos – один, cytus – клетка) относятся к разновидностям лейкоцитов крупных размеров, гранулоцитам, которые содержат одно ядро. Эти белые клетки входят в группу активных фагоцитов, которые являются составным элементов периферической крови, защитными клетками иммунной системы.
Когда лабораторный анализ крови говорит о повышении уровня моноцитов, это свидетельствует о таком явлении, как моноцитоз, а понижение их уровня называют моноцитопенией.
Белые клетки могут наблюдаются в больших количествах в костном мозге, селезенке, печеночных синусах, альвеолярных стенках и лимфоузлах. В кровяном русле они располагаются недолгий период (нескольких суток), потом переходят в окружающие ткани, в этом месте обеспечивается их созревание. В тканях совершается процесс превращения моноцитов в гистоциты, последние имеют название тканевых макрофагов.
Каким должен быть их уровень?
Мы рассмотрели, что такое моноциты в анализе крови, теперь самое время разобрать, какой же их показатель является нормой. Поскольку данные клетки представляют собой один из видов лейкоцитов, то их измерение предполагает определение процента моноцитов в числе лейкоцитов.
Важно! Данный показатель абсолютно не зависит от половых или возрастных различий, а потому норма моноцитов у женщин и у мужчин находится на одном уровне. Есть лишь небольшие различия по возрасту и в определенные периоды у беременных.
Краткое видео о назначении и свойствах моноцитов
Нормальное содержание данных клеток следующее:
- В возрасте до 10 лет составляет от 2 до 12%.
- По достижении 12-летнего возраста — 3-10%.
За что отвечают моноциты в крови
Какую функцию выполняют моноцитарные клетки? Эти белые кровяные тельца группы лейкоцитов дополнительно относятся к фагоцитам, вырабатываются костным мозгом. Выполняют защитную функцию путем поглощения попавших в организм микроорганизмов, очищения воспалительного поля от иных лизированных лейкоцитов, способствуя уменьшению воспалительного процесса и стимулированию регенерации окружающих очаг воспаления тканей организма. Еще одной задачей этих клеток выступает выработка интерферона и предотвращение онкообразований.
Абсолютное содержание моноцитов — что это?
Таблица содержания всех форм лейкоцитов в крови
В случае с измерением моноцитов очень большую роль играет их абсолютное содержание в крови, а не только процентное. Дело в том, что общий анализ крови их количество определяет лишь относительно. Поэтому была разработана специальная методика для определения абсолютного содержания моноцитов в клетках одного литра крови.
Данный показатель записывается как «моноциты абс.» или Mon#. «Абс.» в данном случае и означает «абсолютный».
Моноциты абсолютные норма у взрослых составляет 0—0,08×109/л. У детей, не достигших 12 лет, данный показатель колеблется в пределах 0,05—1,1×109/л.
Диагностика
Диагностика проводится посредством взятия анализов крови (WBC общий анализ крови) для лабораторных исследований, когда у человека есть признаки или симптомы инфекционного или аутоиммунного расстройства.
В некоторых случаях выявляется случайно, при сдача того-же общего анализа крови во время диагностики обычного физического состояния пациента.
О чем свидетельствует повышенный уровень
Если моноциты повышены, то такое заболевание называется моноцитозом. Когда в крови повышенные моноциты, то это свидетельствует о присутствии чужеродных агентов в составе крови, что может указывать на развитие новообразований и инфекций.
Рассмотрим более подробно, что это значит — повышенные моноциты в крови. Данное явление может развиваться на фоне целого ряда заболеваний, потому такие признаки ни в коем случае нельзя игнорировать:
- Это может свидетельствовать о развитии туберкулеза.
Очень часто повышение моноцитов свидетельствует о развитии туберкулеза
- Возможны лимфома или лейкоз.
- Повышенный уровень моноцитов у взрослого может свидетельствовать о наличии заболеваний инфекционного характера в острой форме в стадии выздоровления. Это может быть корь, краснуха, мононуклеоз, дифтерия и т. д.
- Красная волчанка, ревматизм и т. д.
Важно! Аномальный уровень моноцитов в крови наблюдается при мононуклеозе. Это инфекционное заболевание крови очень часто поражает детей.
Почему повышены моноциты
Чтобы лучше понять причины повышения моноцитов, необходимо знать, что представляют собой эти клетки и какую функцию выполняют. Моноциты — это зрелые одноклеточные лейкоциты, формирующиеся в костном мозге и живущие на более 3 суток. Максимально активного состояния они достигают, попав в кровяное русло. Здесь они растут, исполняют свои функции, а примерно через 70 часов после образования перерождаются в макрофаги и всасываются в ближайшие ткани.
Основная функция этих белых кровяных телец — защитно-очистительная. Передвигаясь в потоке крови, они обнаруживают инородные для организма тела, к которым относятся вирусы, инфекции, паразиты, раковые клетки, и стараются уничтожить их. Чтобы это сделать, клетка вплотную подходит к «врагу», обволакивает его собственным телом, обезвреживает, «переваривая» внутри, и выводит из организма. Таким же образом моноциты уничтожают отмершие клетки, бактерии и иные субстанции, загрязняющие организм.
По такой же схеме действуют макрофаги, попавшие в ткани. Только в этом случае процесс уничтожения вредоносных клеток увеличивается по времени.
Кроме этого, моноциты участвуют в синтезе интерферона, делая клетки невосприимчивыми к воздействию вирусов, чем усиливают защитные функции организма.
Из вышесказанного можно сделать вывод: повышение моноцитов в крови свидетельствует о наличии заболевания, с которым организм ведет активную борьбу, увеличивая выработку клеток-защитников.
Абсолютный моноцитоз у взрослых может развиться в случаях:
- если пациент страдает хроническими заболеваниями кишечника: язвенным колитом, болезнью Крона, воспалением тонкого кишечника;
- отравления веществами, содержащими хлор, фосфор или их соединения;
- наличия тяжелых хронических заболеваний, таких как красная волчанка, псориатический или ревматоидный артрит;
- ревматологических заболеваний: эндокардита, ревматизма;
- заражения инфекционными заболеваниями, такими как сифилис, бруцеллез, туберкулез, сальмонеллез, дизентерия, корь, ветрянка, краснуха, коклюш, грипп;
- болезней крови, таких как остеомиелофиброз, хронический миелолейкоз, тромбоцитопеническая пурпура, полицитемия, острый лейкоз;
- проникновения в организм вирусов или паразитов;
- развития грибковых заболеваний;
- наличия гнойных очагов или развития сепсиса;
- травм;
- инфаркта миокарда;
- злокачественных новообразований лимфосистемы: лимфогранулематоза, лимфомы.
Важная информация: Что такое лейкоциты и сколько должно быть в крови (норма у здорового человека)
Моноциты, превышающие норму, наблюдаются у пациентов, находящихся на стадии восстановления после перенесенных операций и в период выздоровления после тяжелых инфекционных болезней. К увеличению моноцитов в крови приводят стрессы, недосыпания, чрезмерные физические нагрузки, сытная еда накануне сдачи анализа. Эти факторы следует учитывать в случае необходимости исследования крови.
У мужчин
Специфических причин, вызывающих повышение количества моноцитов у мужчин, не существует.
Лейкоцитарные нормы и причины их изменения у представителей обоих полов одинаковы.
Однако мужчины, которые слишком много работают, часто испытывают стрессы, или их работа связана с чрезмерным нервным и психическим напряжением, могут страдать моноцитозом.
У женщин
Если у женщины моноциты повышены, это говорит о наличии воспалительных или инфекционных заболеваний. Однако, в отличие от мужчин, в женском организме показатели белых кровяных телец могут немного увеличиваться в связи с особенностями функционирования репродуктивной системы: во время овуляции или менструации, что связано со скачками гормонального фона.
У беременных
Все виды лейкоцитов играют важное значение в женском организме в период беременности и лактации: они берут на себя двойную функцию по защите матери и плода, а после родов помогают женщине быстрее восстановить силы. Т. к. во время беременности происходит перестройка эндокринной и иммунной систем и постоянно меняется гормональный фон, количество и соотношение всех видов лейкоцитов в крови у женщины изменяется.
В первом триместре нижний уровень моноцитов падает до 1%. Однако через несколько недель вновь повышается до 3%. Во время последнего триместра из-за подготовки организма к родам меняется гормональный фон, что тоже может привести к повышению содержания моноцитов в крови. После родов наблюдается снижение показателей лейкоцитов, но затем они вновь могут подняться, что свидетельствует о послеродовом восстановлении организма.
У детей
По сравнению со взрослыми у детей уровень моноцитов завышен. Самые высокие моноциты наблюдаются у новорожденных. Однако если возрастные нормы не превышены или отклонения составляют не более 10%, волноваться не о чем. Если же моноциты выше нормы, это может свидетельствовать о заражении гельминтами, вирусными или инфекционными заболеваниями. Эти причины являются наиболее частыми. У многих детей превышение лейкоцитарных норм наблюдается в период появления или выпадения молочных зубов и роста коренных, что связано с формированием новых тканей.
Моноциты в крови повышаются под влиянием наследственных факторов, в постоперационный период, в случаях более тяжелых заболеваний таких, как лейкоз. Однако у детей гораздо чаще встречается моноцитопения (пониженный уровень лейкоцитов), чем моноцитоз, что является более опасным симптомом, свидетельствующим об истощении организма и пониженной сопротивляемости ко внешним факторам.
О чем свидетельствуют пониженные
Если моноциты понижены, диагностируется заболевание моноцитопения, на фоне которого может развиваться анемия и резко снижается уровень других кровяных элементов.
Фолиеводефицитная анемия и апластическая анемия — две наиболее распространенные причины падения уровня моноцитов. Также моноцитопения — это один из наиболее частых симптомов лечения препаратами глюкокортикоидного типа.
Нормальный (слева) и пониженный уровень моноцитов в крови
Важно! Если полностью отсутствуют в крови сегментоядерные моноциты, то это очень плохой признак. Чаще всего речь идет о тяжелой форме лейкоза, при которой продукция моноцитов останавливается. Также причиной может быть сепсис, когда для очистки крови недостаточно никаких количеств моноцитов и происходит разрушение кровяных клеток в результате воздействия токсинов.
Таким образом, серьезные проблемы со здоровьем могут возникать как при повышенном, так и при пониженном уровне моноцитов в организме. Поэтому при подозрении на какие-либо сбои в данном области необходимо немедленно обратиться к врачу.
← Причины понижения эозинофилов в крови у взрослого человека
Причины понижения или повышения холестерина у беременных →
Рекомендуем изучить похожие материалы:
- 1. Система гемостаза: зачем сдавать анализ на свёртываемость крови
- 2. Как подобрать диету по группе крови: худеем вместе
- 3. Причины и опасности повышения уровня базофилов у детей
- 4. Понизился уровень базофилов у взрослых: как лечить базофилию
- 5. Причины повышения или понижения нейтрофилов в анализе крови у детей?
- 6. Функции и возможные причины патологий сегментоядерных нейтрофилов
- 7. Нормы содержания нейтрофилов в крови и какие функции они выполняют
Как снизить
Если повышены моноциты, то игнорировать этот факт не следует. Даже небольшие отклонения могут свидетельствовать о наличии воспалительных, вирусных или инфекционных заболеваний. Чем раньше обратиться к специалисту, тем проще избавиться от лейкоцитоза. Однако спектр заболеваний, сопровождающихся высоким уровнем содержания лейкоцитов в крови, столь велик, что многие люди не знают, к какому специалисту следует обратиться.
Если анализ показывает повышенное содержание белых кровяных телец, то в первую очередь следует обратиться к терапевту, который обязательно назначит повторный анализ с целью исключить ошибку.
Если ошибки нет, то в зависимости от иных симптомов, которые также должен выявить терапевт в процессе анамнеза, будут назначены дополнительные анализы, и только после этого поставлен диагноз и определен специалист, который займется лечением пациента.
Грипп или ОРВИ терапевт лечит сам. Пациенту назначают курс антибиотиков, витаминов, а также препараты, направленные на симптоматическое лечение.
Важная информация: Норма лимфоцитов в крови у мужчин (таблица по возрасту)
Если у пациента выявлены простые гельминты (например, аскариды), то терапевт подберет схему лечения и в зависимости от вида паразита назначат таблетки. В тяжелых случаях гельминизации (например, при заражении бычьим цепнем) потребуется помощь инфекциониста и гастроэнтеролога.
Помощь инфекциониста необходима при заражении корью, ветрянкой, дизентерией, бруцеллезом и иными инфекционными заболеваниями. В этом случае пациент обязательно госпитализируется и ему в зависимости от болезни назначается схема комплексного лечения.
Если терапевтический осмотр выявил обострившиеся заболевания ЖКТ (гастрит, энтерит, язву и т. д.), то лечением пациента займется гастроэнтеролог. Цель лечения — добиться ремиссии заболевания, для чего пациенту назначат иммуномодуляторы, кортикостероиды, аминосалицилаты. После курса препаратов сдается контрольный анализ. Нормализация уровня всех видов лейкоцитов будет означать, что ремиссия наступила.
Пациенты, заболевшие сифилисом, должны пройти лечение в кожвендиспансере, где им назначат курс антибиотиков и общеукрепляющих препаратов.
Наиболее тяжелые случаи связаны с развитием злокачественных новообразований, которыми будет заниматься онколог. Врач проведет обследование, выявит стадию заболевания, локализацию опухоли, степень ее распространения, в зависимости от чего пациенту будут предложены курсы химиотерапии, лучевой терапии или оперативное вмешательство. Схемы лечения носят индивидуальный характер, т. к. приходится учитывать множество факторов. Цель лечения — недопущение распространения опухоли на другие органы.
Если абсолютное содержание моноцитов в крови повышено в результате стрессовой ситуации, то следует обратиться к психологу, в более тяжелых случаях — к психотерапевту. В подобных ситуациях моноциты приводят в норму средствами, стабилизирующими психоэмоциональное состояние пациента, в совокупности с сеансами психотерапии.
Независимо от причины повышения уровня белых кровяных телец, в комплекс лечебных мероприятий, направленных на их понижение, обязательно должно войти правильное питание. Необходимо отказаться от сахара и алкоголя, а в рацион ввести больше рыбы и морепродуктов, насыщенных омега-кислотами. Кроме этого, следует есть больше овощей, фруктов, орехов и цельнозлаковых продуктов, эффективно борющихся с воспалениями, которые и провоцируют увеличение уровня моноцитов.
Моноциты при беременности
Состав крови женщины в положении необходимо держать под постоянным контролем, чтобы отслеживать состояние здоровья будущей мамы и ее крохи.
Беременность несколько меняет соотношение кровяных клеток. Ведь во время ее течения в женском организме происходит перестройка: изменяются условия функционирования эндокринной и иммунной системы. Это необходимо для того, чтобы подготовиться к росту плода и обеспечить его правильное развитие.
Уже в первом триместре в женской крови снижается количество клеток, которые формируют лейкоцитарную формулу. Поэтому норма моноцитов для будущих мам установлена в пределах от одного до одиннадцати процентов. То есть нижняя граница уменьшается в три раза.
Такое значение нормы учитывает и то, что организм при родах истощается. Но через несколько недель в женском теле все стабилизируется, в том числе и уровень моноцитов.
Функции моноцитов в организме человека
Эти клетки – самые большие форменные элементы в сосудах, они относятся к фракции лейкоцитов, подгруппе агранулоцитов. Основная деятельность моноцитов осуществляется не в сосудистом русле, а в тканях. Куда они мигрируют через несколько суток после выхода из места своего образования – костного мозга.
В тканях моноциты перерождаются в макрофаги. Но и до этого момента они способны выполнять часть своих функций. Главная из них – фагоцитоз. Она характеризуется способностью захватывать антигены, гибнущие клетки, а также продукты их распада. Знания о значении моноцитов – это ключ к пониманию того, что такое их повышение в крови у взрослых.
К дополнительным функциям моноцитов и макрофагов относятся:
- презентация чужеродного агента лимфоцитам, которые в будущем смогут распознавать и более эффективно уничтожать «нарушителя»;
- участие в жизнедеятельности и размножении окружающих клеточных структур, процессах заживления;
- борьба с опухолевыми клетками;
- активность в аллергических и воспалительных реакциях;
- пирогенное действие – воздействуя на центр терморегуляции, они принимают участие в механизме повышения температуры тела.
Этот вид лейкоцитов участвует в сложных иммунных реакциях. Превышение нормального уровня моноцитов в крови у взрослого в медицинской литературе называется моноцитозом.
Моноциты в крови
Как обозначаются в анализе крови?
При обращении в клинику доктор сначала направляет больного на сдачу клинических анализов. Результаты показателей пишутся латинскими буквами и имеют свои референсные значения. Поэтому самому пациенту сложно разобраться, как обозначаются моноциты в анализе крови, какое их значение является нормальным.
Доктор объяснит, что показывают моноциты в анализе крови, что это может обозначать, за что они отвечают у взрослого человека. В результатах анализов такой показатель записывается как MON. Этот результат может измеряться в процентном соотношении или в абсолютных единицах. Моноциты в крови в норме не превышают 11% от общего количества всех лейкоцитов.
Бланк с анализом крови
Повышение этого показателя может быть относительным или абсолютным. Относительным называется увеличение процентного соотношения моноцитов больше нормы при их нормальном общем количестве. При этом число лейкоцитов в анализе крови остается в норме.
Относительный моноцитоз не имеет прогностического значения.
Абсолютным моноцитозом называется повышение их общего числа. Такое состояние обычно сопровождается одновременным увеличением других лейкоцитов.
Абсолютный моноцитоз – это явление патологическое и требующее дополнительного обследования для поиска причины.
Таким образом, на вопрос, о чем говорят моноциты в крови, можно ответить, что это показатель не неспецифичный. И трактовать его следует только в совокупности с другими лабораторными исследованиями. Почему могут быть понижены лейкоциты в крови?
Функции
Какие функции у моноцитов, в отличие от других лейкоцитов, не погибают вместе с уничтожаемым противником, а способны вступать в очередное противостояние по следующей схеме:
- По команде лейкоцитов-поисковиков, макрофаги устремляются к локализации чужеродного агента в тканях;
- Подобно амёбе, обтекают противника и, посредством лизосом, растворяют его. Могут справиться с более крупным противником, нежели гранулоциты;
- Утилизируют останки отмерших лейкоцитов в крови;
- Сообщают информацию о повстречавшемся вредителе другим клеткам;
- Прерывают развившуюся аллергическую реакцию.
Клетки, происходящие от моноцитов
Метаморфозы
Оболочка моноцита обладает способностью изменять форму. При необходимости, мембрана моноцита формирует амёбоподобные отростки, и МON приобретает способность к передвижению. Моноцит в крови обладает способностью передвигаться по кровяному руслу «вплавь» и проходить сквозь стену кровеносного сосуда по имеющимся в ней порам.
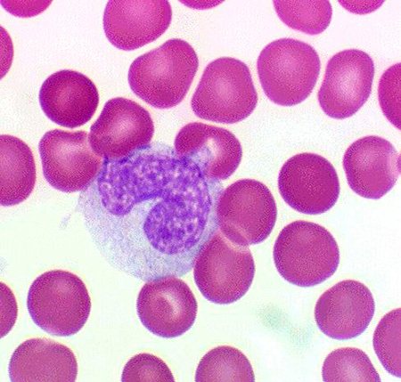
Моноциты в крови под микроскопом
Родиной моноцитов является костный мозг. MON, прежде чем перейти в ткани, могут находиться в периферийной крови до трёх суток. Там они набираются сил, подзаряжают митохондрии энергией, увеличивают ресурсы лизосом. В результате метаморфозы моноцит становится фагоцитом или гистиоцитом. В отличие от гранулоцитов в крови, моноциты живут месяцами.
Организм направляет преображённые клетки моноцитов в следующие места:
- Лимфатические узлы;
- Кожные покровы;
- Печень;
- Ткань лёгких;
- Селезёнка.
Из моноцитов формируются специфичные макрофаги для отдельных тканей, стволовые клетки гениталий, стенки кишечника, носоглотки, органов выделения, микроглия нервной ткани.
Подобные метаморфозы позволяют MON не только ликвидировать чужеродные агенты, но запоминать и передавать исчерпывающую информацию прочим клеткам крови, ответственным за иммунитет.
Уровень моноцитов понижен
Снижение моноцитов по отношению к норме – моноцитопения – сопровождает такие болезни:
- Апластическая и фолиеводефицитная анемии – наиболее распространенные причины.
- Острые инфекции, при которых происходит уменьшение количества нейтрофилов.
- Длительная терапия глюкокортикостероидами.
- Панцитопения.
- Волосатоклеточный лейкоз – самостоятельное заболевание, хотя и считается вариантом хронического лейкоза. Недуг довольно редкостный.
- Лучевая болезнь.
Что делать?
Если после получения анализа обнаруживается, что моноциты повышены у взрослого, то необходимо сразу же обращаться к врачу с целью проведения дополнительных анализов (собственно говоря, в случае с развитием такого же состояния у детей, необходимо поступать так же ). Стоит сказать, что лечить состояния, при которых в организме детей или взрослых происходит изменение количества лейкоцитарных элементов крови бессмысленно. Сначала врач определяет причину развития этого заболевания, а потом назначает необходимые фармацевтические препараты для её лечения.
Как определяют уровень лейкоцитарных клеток крови
Количество моноцитов определяют двумя способами.
- При высчитывании первым способом определяют процентное соотношение по сравнению с лейкоцитами.
- Абсолютное содержание моноцитов (записывается как моноциты абс) вычисляется исходя из количества клеток на один литр крови. Обозначение моноцитов как mon или mono применяется при записи в листок с ответами.
Ниже представлена таблица, по которой можно определить норму моноцитов у взрослого человека и у детей.
ВозрастМоноциты, %Пределы нормы, 10⁹/л
| Меньше 13 лет | 2-12 | 0,05-1,1 |
| Старше 13 лет | 3-11 | 0,04-0,8 |
Атипичные мононуклеары также измеряются процентами от общего количества лейкоцитов.
Дополнительная диагностика: анализ на лимфоциты, СОЭ, нейтрофилы
В клинический анализ крови сразу входят такие показатели как лимфоциты, СОЭ и нейтрофилы. Эти данные позволяют врачу более точно поставить диагноз и назначить лечение.
Отклонение от нормы двух и более показателей, свидетельствуют о наличии патологических изменений в организме:
- Изменение концентрации моноцитов и лимфоцитов свидетельствуют, прежде всего, об инфекции бактериального характера.
- Отхождение от нормы СОЭ и моноцитов характерно для вирусных и аутоиммунных заболеваний.
- Превышения нейтрофилов и моноцитов может быть причиной грибковой инфекции.
При серьёзных заболеваниях в организме, обычно, появляются несколько отклонений в кровяной формуле. Для каждого заболевания характерны свои особенности изменений.
В преклонном возрасте
Как уже было сказано выше, концентрация моноцитов в крови здорового человека после 16 лет должна оставаться на уровне 3-11%.
Что такое гематокрит, много ли значит этот показатель и почему бывает ниже нормы?
В преклонном возрасте (после 40-50 лет) эти показатели остаются точно такими же, а отклонения от нормы могут быть связаны с патологиями, которые были перечислены выше.
Отдельно надо сказать о ситуации, при которой моноциты повышены, а лейкоциты понижены.
В этом случае причины могут заключаться в следующем:
- недостаток белковой пищи в рационе питания;
- сниженная функциональность костного мозга;
- отрицательное влияние лучевой терапии;
- прием препаратов, которые угнетают кроветворение;
- иммунодефицит;
- вирусы – ВИЧ, корь, ветряная оспа, полиомиелит;
- воспалительные процессы соединительной ткани, в результате чего образуются антитела к лейкоцитам;
- стрессы;
- увеличение концентрации гормонов, которые синтезирует кора надпочечников.
Причины увеличения
Превышение предельно допустимого количественного содержания моноцитов говорит о развитии моноцитоза.
Моноцитоз развивается в двух формах:
- абсолютный — изолированная выработка макрофагов в крови, при которой концентрация этих клеток превышает 1,1*109/л для детей возрастной группы до 12 лет и 0,8*109/л для взрослого человека (патология развивается на фоне заболеваний, которые вызывают специфическое продуцирование профессиональных фагоцитов);
- относительный — состояние, характеризующееся нормальным абсолютным содержанием моноцитов, при этом их процентное соотношение в крови повышено (патология возникает на фоне одновременного понижения уровня других лейкоцитов).
Абсолютная форма моноцитоза опаснее по сравнению с относительной формой, т. к. является признаком нарушений в организме.
Важная информация: Норма количества эритроцитов в крови здорового человека (сколько должно быть)
Если уровень моноцитов в крови повышен, значит, начался фагоцитоз и активное уничтожение чужеродных клеток. Незначительное повышение моноцитов в течение первых двух часов после приема пищи считается нормой.
Чтобы избежать неточностей при проведении исследований, необходимо сдавать анализ крови в утренние часы до приема пищи.
Если уровень фагоцитов сильно превышает допустимые значения, это означает, что у человека развивается патология, требующая немедленного выявления и лечения.
Менструация
Особенности женской половой системы обуславливают незначительное повышение допустимых показателей в течение первых дней цикла, когда эндометрий активно отторгается, и клетки-дворники начинают свою усиленную работу. Максимальные значения уровня моноцитов наблюдаются в дни обильных выделений. С завершением менструации уровень фагоцитов нормализуется. Чтобы анализ МОN был точным, доктора рекомендуют сдавать его в период между менструациями.
Беременность
Иммунная система беременной подвергается изменениям, поэтому первый триместр сопровождается понижением уровня клеток-дворников, а третий триместр и период накануне родов — его максимальным повышением. Если показатели не выходят за допустимые верхние и нижние пределы, то это считается нормой.
Острые инфекционные заболевания
Увеличение количества фагоцитов может происходить на фоне развития инфекционного заболевания. При ОРВИ общий анализ крови показывает незначительное превышение нормальных значений. При возникновении бактериальной инфекции увеличивается количественное содержание нейтрофилов. Моноциты начинают борьбу с вирусами, при этом наблюдается их повышенное содержание в крови с первого до последнего дня болезни. На протяжении 14-30 дней может сохраняться повышенная концентрация этих элементов.
Если отклонения от нормы фиксируются через 1,5-2 месяца, значит, развивается хроническая инфекция. Простуда характеризуется повышением уровня моноцитов до верхней границы нормы, также допускается ее незначительное превышение. При резком скачке моноцитов необходимо пройти обследование на выявление онкогематологической патологии.
Инфекционный мононуклеоз
Это болезнь, причиной развития которой является герпесоподобный вирус Эпштейна-Барра. Возникает в основном у детей в дошкольном возрасте. Инфекция считается распространенной и диагностируется у многих детей. Взрослые редко болеют инфекционным мононуклеозом в силу развитой иммунной системы.
Основные признаки заболевания:
- внезапное ухудшение состояния, на фоне которого температура тела повышается до 40°C;
- появление насморка, боли в горле, заложенности носа;
- увеличение подчелюстных и затылочных лимфатических узлов, которое не сопровождается болью;
- кожная сыпь;
- увеличение селезенки, печени.
Лихорадочное состояние может сохраняться в течение месяца с периодическим улучшением самочувствия. При проведении общего анализа крови обнаруживается повышенное содержание лимфоцитов и моноцитов. Для уточнения диагноза проводится тест на специфические антитела. Лечение заключается в устранении симптоматики.
Туберкулез
Инфекционная болезнь, которая приводит к поражению костей, легких, мочеполовой системы, кожи.
Симптомы заболевания:
- продолжительная лихорадка, которая возникает без причины;
- беспричинное похудение;
- появление затяжного кашля (признак туберкулеза легких);
- слабость, утомляемость.
С целью своевременного выявления патологии взрослые каждый год проходят флюорографию, дети — реакцию Манту. Диагноз туберкулез легких уточняется с помощью рентгенографии грудной клетки.
Туберкулез с локализацией в других органах определяется с помощью специфических исследований.
Паразитарная инвазия
Присутствие гельминтов (свиной цепень, бычий цепень, аскариды, острицы и др.) в организме сопровождается активизацией клеток-дворников.
Паразитарная инвазия характеризуется:
- болевыми ощущениями в разных зонах живота;
- диареями;
- беспричинным похудением при хорошем аппетите;
- сыпью на коже (крапивница).
Общий анализ крови выявляет повышенное содержание моноцитов и эозинофилов. Для подтверждения диагноза выполняется анализ кала, бакпосевы, иммунологические тесты.
Для лечения заболевания назначаются противопаразитарные лекарственные препараты.
Хронические инфекционно-воспалительные процессы
Инфекция с хроническим течением, которая долгое время присутствует в организме, становится причиной повышенной концентрации моноцитов в кровотоке.
Хронические патологии не имеют характерной симптоматики. Клиническая картина заболевания зависит от его формы и локализации:
- горло;
- легкие;
- сердце;
- почки;
- костная ткань;
- органы малого таза;
- желчный пузырь.
Важная информация: Что значат повышены лимфоциты в крови у взрослого (причины и последствия)
Признаки, которые могут возникать:
- боль, постоянная или периодическая, в области очага поражения;
- вялость;
- повышенная утомляемость.
После установления первопричины составляется программа по ее устранению. Содержание моноцитов нормализуется вместе со стиханием хронической патологии.
Аутоиммунные заболевания
Аутоиммунными называются заболевания, которые сопровождаются уничтожением иммунной системой собственных тканей. В этом процессе моноциты принимают активное участие, при этом страдают сердечные клапаны, суставы, кожа, почки.
Среди аутоиммунных патологий наиболее распространенными являются:
- ревматоидный артрит (разрушение мелких суставов);
- диффузный токсический зоб (поражение щитовидной железы);
- системная красная волчанка (поражение клеток кожи, сердечных клапанов, мелких суставов, кожи);
- сахарный диабет I типа (нарушения обмена глюкозы);
- системная склеродермия (поражение кожи с переходом на внутренние органы).
Онкогематологическая патология
Если резкое повышение концентрации моноцитов не связано с аутоиммунными и инфекционными заболеваниями, то причина может заключаться в развитии раковых заболеваний крови, таких как:
- лейкоз (миеломоноцитарный, острый моноцитарный);
- лимфогранулематоз;
- миеломная болезнь.
Отравление химическими веществами
В редких случаях к моноцитозу приводят:
- Отравление тетрахлорэтаном. Пары этого вещества попадают в организм через кожу или рот и вызывают раздражение слизистых оболочек, становятся причиной головных болей и развития желтухи. Возможно поражение печени.
- Отравление фосфором. Причиной отравления может стать взаимодействие с зараженной пылью либо паром, случайный прием внутрь. Острое отравление сопровождается диареей и болями в области живота. Поражается печень, почки, ЦНС.
Проявления моноцитоза являются одним из признаков отравления, который учитывается при постановке диагноза.
Отклонения от нормы у детей
Основные причины снижения моноцитов у детей такие же, как и у взрослых. Повышенная гибель клеток происходит при тяжелых инфекционных и паразитарных поражениях. Самая страшная причина моноцитопении у детей – это онкологические заболевания крови.
Для диагностики заболевания, вызвавшего отклонения от нормы проводится общий анализ крови и делается детальная расшифровка лейкоцитарной формулы. В ней указывается наличие относительного и абсолютного снижения моноцитов. Несовпадение показателей (разнонаправленное снижение) указывает на тяжелое состояние ребенка.
В таком случае требуется тщательное обследование и срочное начало лечения.
Внутри лейкоцитарной формулы может наблюдаться следующая картина – относительный показатель моноцитов повышен при одновременном снижении количества лимфоцитов. Что это значит?
Подобные изменения происходят по следующим причинам:
- Недостаток белка в рационе ребенка,
- Снижение кроветворной функции костного мозга, в котором образуются моноциты,
- Облучение,
- Угнетение кроветворной функции приемом некоторых лекарственных препаратов,
- Наличие в организме вирусов – ВИЧ, полиомиелита, кори, ветрянки,
- Повышение уровня гормонов, вырабатываемых надпочечниками.
Таблица нормы у детей моноцитов и других лейкоцитов по возрасту
Дальнейшая диагностика проводится с помощью детального изучения всех показателей клинического анализа крови.
Как нормализовать уровень моноцитов?
Как понизить количество моноцитов? Если они повышаются для того, чтобы противостоять инфекции при несерьезных заболеваниях или инфекциях (например, грибковых), снижать их уровень нет необходимости. Он сам придет в норму.
Другое дело – тяжелые заболевания, сопровождающиеся патологическим моноцитозом, такие как рак или лейкоз. В этом случае лечение будет направлено на само заболевание. В любом случае, повышение моноцитов на фоне, казалось бы, полного благополучия должно стать серьезным поводом для обращения к врачу. Самостоятельно справляться с подобными проблемами нельзя.
Повышение уровня моноцитов может быть первым сигналом начинающегося злокачественного заболевания крови.
Снижение моноцитов – это сигнал SOS от организма. Их также нужно восстанавливать только с помощью врача. И здесь терапия будет направлена на основное заболевание. Единой тактики лечения нет, так как причины снижения индивидуальны. В обязательном порядке рекомендуется специальная высокобелковая диета.
Она основана на следующих принципах:
- Большое содержание белков (растительных или животных – порекомендует врач),
- Ограничение соли и простых углеводов (сладкие блюда),
- Сбалансированное содержание жиров и углеводов,
- Полное исключение сахара,
- Потребление повышенного количества продуктов с содержанием калия, кальция и витаминов А, С, В, Е, РР и D,
- Ограничение питья.
Продукты должны подвергаться щадящей термической обработке.
Повышение моноцитов
Если концентрация данного показателя в крови человека увеличена, то можно подозревать ряд развивающихся в организме патологий. Чаще всего этот показатель назначают как подтверждающий тест, так как на накопление его требуется время.
Причинами моноцитоза могут быть следующие патологии:
- Онкологические заболевания, в основном все опухоли злокачественной природы. Чаще всего наблюдается сильный мононуклеоз при онкологии у лиц пожилого возраста.
- Практически все вирусные, бактериальные или грибковые инфекции. Происходит повышение из-за активной борьбы моноцитов с различными видами бактерий и вирусов. В основном при таких заболеваниях, как грипп, краснуха, дифтерия, туберкулез или сифилис.
- При мононуклеозе, особенно у взрослых людей, сильно повышен показатель лейкоцитов.
- При воспалительном процессе тонкого или толстого кишечника, особенно в фазу обострения;
- Аутоиммунные заболевания по типу красной волчанки или ревматизма.
- Послеоперационный период.
Стоит отметить, что повышенным данный показатель остается и после полного выздоровления. В нормальные значения он может прийти в течение месяца. А у детей моноцитоз может наблюдаться даже при прорезывании или смене зубов.
Этиология
Такой синдром, как моноцитоз, имеет причины различного характера, а именно:
- воспалительный и инфекционный характер заболевания;
- аутоиммунные патологии;
- болезни крови;
- лейкемия (рак крови);
- другие причины (генетические заболевания и индивидуальные особенности человека).
При обращении к врачу, он будет искать индивидуальные факторы, повлиявшие на развитие этого синдрома.
Описание моноцитов
Снижение моноцитов
Снижение моноцитов или моноцитопения также является патологическим состоянием для человека. С помощью этого анализа грамотный врач может найти причину заболевания и поставить правильный диагноз.
Итак, снижение показателя может говорить о следующих патологиях:
- сильное истощение иммунитета, после каких-либо перенесенных заболеваний ведет к снижению показателя;
- анемии в основном при тяжелой степени;
- при приеме некоторых химиотерапевтических препаратов, а также лечение глюкокортикостероидами;
- беременность, особенно это касается первого триместра;
- лейкозы в запущенной стадии;
- некоторые инфекционные заболевания, например, брюшной тиф или паратиф;
- лучевая болезнь.
Бывает так, что в анализе совершенно не определяется этот показатель. Тогда можно говорить о прогрессировании лейкоза, так как иммунная система совершенно не справляется с болезнью. Еще такая аномалия наблюдается при сепсисе крови. В этом случае происходит массовое разрушение клеток крови под действием токсина, при этом фагоциты не могут справиться с интоксикацией. К сожалению, такое состояние чаще всего приводит к летальности.
Таким образом, моноциты – это одни из самых важных форменных элементов иммунной системы. Они поддерживают оптимальный уровень работы иммунитета. А также являются неким подтверждающим лабораторным тестом при диагностировании заболевания. Поэтому любое изменение этого показателя должно быть строго исследовано.
Лечение
Лечение моноцитоза зависит от того, чем он был вызван. В некоторых случаях (период выздоровления после инфекционного заболевания или хирургической операции, физиологический моноцитоз у женщин или детей) лечить ничего не требуется, однако может возникнуть необходимость в повторном проведении клинического анализа крови с тем, чтобы исключить возможную ошибочную трактовку моноцитоза как физиологического. Например, женщине может быть назначено повторное исследование крови через 1-2 недели после первого, чтобы оно пришлось на другую фазу менструального цикла.
Если после перенесенного инфекционного заболевания отмечается стойкое повышение уровня моноцитов, это является показателем хронизации инфекции, а значит, может появиться необходимость в дополнительном курсе противоинфекционной терапии.
Лечение системных заболеваний (коллагенозы, васкулиты) зависит от конкретного диагноза, обычно оно заключается в курсовом приеме глюкокортикоидов, производных аминохинолина и др. Терапия этих заболеваний, как правило, пожизненная – поддерживающая в периоды ремиссии и активная в периоды обострений.
Если моноцитоз вызван онкологической патологией, а именно, злокачественным поражением крови, лечение заключается в проведении химиотерапии, т. е. проведении нескольких курсов системных препаратов цитостатического действия, иногда в сочетании с лучевой терапией.
После завершения лечения проводится контрольный анализ крови для подтверждения нормализации количества моноцитов в крови.
Причины моноцитоза
Физиологически моноциты несколько повышены (по сравнению с нормой у взрослых) у детей до 7 лет, особенно у детей первого года жизни. Кроме того, может наблюдаться превышение их показателей у женщин в лютеиновой фазе менструального цикла, поскольку в этот период отторгается функциональный слой эндометрия, что сопровождается некоторыми признаками воспалительной реакции, воспринимаемой иммунной системой как воспаление, хотя им не является.
Кратковременное повышение уровня моноцитов может быть реакцией на стресс, более продолжительный транзиторный моноцитоз может наблюдаться в период реконвалесценции после перенесенного острого инфекционного заболевания или хирургической операции. Он также может быть вызван попаданием в дыхательные пути инородных веществ (не инфекции).
Причины повышения количества моноцитов:
| Группа заболеваний | Примеры |
| Инфекции | Вирусные (например, инфекционный мононуклеоз, эозинофильный моноцитоз, герпес), бактериальные (подострый септический эндокардит стрептококковой или стафилококковой природы), риккетсионные (брюшной тиф), грибковые, протозойные (малярия, лейшманиоз) заболевания. |
| Гранулематозы (инфекционные и неинфекционные заболевания, для которых характерно развитие гранулем) | Туберкулез, особенно в активной форме, бруцеллез, сифилис, саркоидоз, энтерит, язвенный колит. |
| Коллагенозы (диффузные заболевания соединительной ткани) | Склеродермия, системная красная волчанка, ревматоидный артрит, узелковый периартериит. |
| Заболевания кроветворной системы | Острый миелобластный лейкоз, острый монобластный лейкоз, лимфома Ходжкина, хронический миеломоноцитарный лейкоз, моноцитарный лейкоз, миелолейкоз. |
| Эндокринные заболевания, нарушения обмена веществ | Синдром Иценко – Кушинга, атеросклероз. |
Профилактика моноцитоза
Чтобы избежать повышенного уровня моноцитов, необходимо следовать рекомендациям врача по лечению основного заболевания.
Также к методам профилактики моноцитоза относят:
- отказ от алкоголя;
- регулярные занятия спортом;
- похудение при избыточном весе и ожирении;
- потребление омега-3 жирных кислот;
- снижение употребления мяса в рационе.
Эти несложные способы профилактики не только помогут предотвратить повышение моноцитов, но и предупредить многие заболевания.