Содержание:
- Патогенез гемобластозов
- Классификация и виды гемобластозов
- Клиническая картина
- Лабораторная диагностика
- Лечение и прогноз
← Лейкемия — всё о заболевании, классификация и почему оно возникает
Как происходит пересадка костного мозга при лейкемии? →
Рак крови — не совсем правильное название. Если рассматривать в широком смысле, то при этом заболевании в патологический (опухолевый) процесс задействована не только сама кровь как соединительная ткань организма, но и костный мозг, где продуцируются и развиваются кровяные клетки, а также органы «переработки» и «утилизации» отработанных форменных элементов (печень, селезенка, лимфатические узлы).
Примечание. То, как называется рак крови, зависит от его цитологического типа, выявляющегося при биопсии костного мозга. Но общее (можно сказать, всеобъемлющее) название злокачественных новообразований кроветворной системы — гемобластозы.
Развитие рака крови бывает как стремительное (быстрое) — в течение 2-3 месяцев, так и постепенное (медленное) — около 7-12 месяцев. Человек может даже не подозревать, что он серьезно болен, поскольку симптомы рака крови на ранних стадиях неспецифичны и часто списываются на банальную простуду или переутомление.
Так выглядит раковая клетка крови под электронным микроскопом
Читайте также: Концентрат Омега-3 от фирмы Солгар – идеальное решение для укрепления здоровья
Стадии
При определении стадии проблемы учитывают, какой размер опухоли, есть ли распространение патологии в соседние ткани, происходит ли метастазирование.
Первая
В результате сбоя в работе иммунной системы появляются атипичные клетки, склонные к хаотичному делению. Этот процесс приводит к появлению раковой клетки.
Вторая
На этом этапе происходит скопление раковых клеток и появление опухолевых тканей. Стадия, когда лечение ещё может быть эффективным.
Третья
Патологические клетки с кровотоком попадают во все системы и органы. Также распространение раковых клеток происходит и через лимфосистему.
Активно протекает процесс образования метастаз. Признаки болезни ярко выражены. Поддаётся лечению в этот период только треть пациентов. Хроническая форма лейкемии при применении химиотерапии добавляет пациенту до семи лет жизни.
Четвертая
На этом этапе патологические клетки вызвали поражение других тканей организма. Метастазы провоцируют раковое заболевание некоторых внутренних органов.
Тяжёлое состояние здоровья. Полное излечение невозможно. Летальный исход может наступить в течение нескольких месяцев.
Патогенез гемобластозов
Причины возникновения злокачественной патологии кроветворного ростка (как, впрочем, любой злокачественной опухоли) остаются загадкой. По непонятным причинам клетка-предшественница гемопоэза начинает делиться по упрощенному пути и синтезировать себе подобные клетки. В костном мозге образуется опухолевый конгломерат. Вновь и вновь синтезирующиеся раковые клетки выходят за пределы костной пластинки и распространяются во все органы и лимфоузлы.
Метастазы лейкозов в кости и картина крови при них
Опухолевые клетки развиваются и начинают расти в геометрической прогрессии за счет:
- нарушения в системе репарации (восстановления) ДНК клетки и, соответственно, синтеза нуклеиновых кислот и белков. Отсюда — кардинальные метаболические изменения и безудержное деление;
- слабой реакции иммунной системы на появление атипичных клеток — несвоевременное их уничтожение или неуничтожение вовсе;
- отсутствия естественного апоптоза (запрограммированной гибели) раковой клетки, следовательно — бесконтрольное размножение и распространение опухоли за пределы первичного очага.
Важно! Изменению (мутации) ДНК клетки обычно способствуют различные вещества и/или факторы, называемые канцерогенами. Ими может быть ионизирующее излучение (радиация) или токсические вещества (например, бензолы и фенолы).
Рекомендуем изучить по данной теме также:
Может ли биохимический анализ крови показать онкологию?
Причины
Не смотря на то, что современная медицина продвинулась далеко вперед по выявлению основных причин возникновения заболеваний, узнать, почему образуется рак крови, ученым практически не удалось.
Читайте также: Инструкция по применению спрея Лидокаин и его аналоги
Но имеется ряд факторов, после которых риск заболеть намного возрастает. Причины возникновения рака крови могут быть следующими:
- более других подвержены патологии больные, ранее страдающие онкологией и прошедшие химиотерапию;
- присутствие генетических болезней, врожденных аномалий;
- превышающая дозволенного радиационное облучение;
- заболевания крови, в частности миелодиспластический синдром;
- постоянное воздействие токсических химических веществ;
- наследственность – рак крови у членов семьи.
В редких случаях болезнь возникает на фоне:
- частых ионизирующих излучений;
- после использования ряда химических веществ или медицинских препаратов;
- или после вирусной инфекции.
Важно! Следует знать, что рак крови может появиться у человека, который не имеет ни один перечисленный фактор.
Классификация и виды гемобластозов
Разновидности рака крови имеются многочисленные, особенно с точки зрения цитологической классификации.
Важно! Под гемобластозами в 90% случаев подразумевают лейкозы — опухолевые перерождения белого кровяного ростка. Остальные 10% приходятся на эритроцитарные (а также тромбоцитарные) и парапротеинемические гемобластозы.
Основное деление, целесообразное с точки зрения картины крови и клинических проявлений — острые и хронические лейкозы.
Миеломная болезнь (парапротеинемический гемобластоз) — мазок крови
Виды рака крови
1. Лейкозы — это опухоли из клеток костного мозга. Они подразделяются на:
• Острые, формирующиеся из молодых, незрелых клеток крови. Действуют быстро и агрессивно;
• Хронические, сфорировавшиеся из созревших клеток. Протекают менее активно.
2. Гематосаркомы. Название их происходит от латинского термина «гемос» — кровь. Формируются из лимфатической ткани (лимфоузлов).
Данные виды рака крайне активны.
Стадии лимфоидного рака крови таковы:
- 1 стадия. Поражена одна группы лимфоузлов или одного нелимфоидного органа.
- 2 стадия. Поражены две и более лимфатических зон выше или ниже диафрагмы.
- 3 стадия. Страдают лимфатические области по обе стороны диафрагмы.
- 4 стадия. Атакованы нелимфоидные органы или ткани. Обычно поражены также лимфоидные области.
3) При миелоидном раке поражены клетки крови, которые именуются гранулоцитами. Если помните, этот термин активно используется в иммунной системе организма.
Читайте также: Особенности применения внутриматочной спирали «Мирена»
Клиническая картина
Первые симптомы рака крови обычно размытые и неспецифичные, общие для многих патологий. К ним относятся сильная слабость, быстрая утомляемость, сонливость, головокружения, необъяснимая периодическая лихорадка. Также первые признаки рака крови могут проявиться бледностью (вплоть до мраморности) кожи и слизистых, быстрым и значительным снижением массы тела, а также апатией (безразличием) или наоборот — раздражительностью на всё.
Далее присоединяются кровотечения различной локализации — десневые, носовые, подкожные. Они начинаются без видимой причины, а остановить их сложно.
Мы рекомендуем изучить статью на похожую тему «Лейкоз у детей — клиническая симптоматика заболевания» в рамках данного материала.
Примечание. Бывает так, что первым симптомом лейкоза выступают спонтанные кровотечения, а не общие проявления опухолевой интоксикации. Особенно это характерно для детей.
Носовое кровотечение при лейкозе
Последняя стадия рака крови характеризуется значительным увеличением печени и селезенки вследствие их гиперфункции, а также патологическими переломами костей. Связанно это с инфильтрирующим ростом опухолевых клеток и с невозможностью утилизировать их полноценно. Обязательно реагирует лимфатическая система — значительно увеличиваются региональные лимфоузлы.
К сожалению, явные признаки начинают проявляться при быстром прогрессировании опухоли. Особенно это касается острого лейкоза.
Многогранен и коварен рак крови. Симптомы у мужчин практически такие же, как у женщин. Но ученые заметили, что в большинстве случаев у представителей мужского пола лейкоз начинает проявляться с генерализованной лимфоаденопатии — увеличения нескольких групп лимфатических узлов с возможностью их пальпации.
Важно! В норме реально определить на ощупь только подмышечные, паховые и поднижнечелюстные лимфоузлы. Все остальные группы узлов не должны прощупываться!
Лимфаденопатия. Сильно увеличенные паховые лимфатические узлы
Тотальное подавление кроветворения характеризует рак крови. Симптомы у женщин, особенно анемический синдром вследствие угнетения эритроцитарного ростка, переносятся легче. Это связано с гормональным фоном и «привычкой» к ежемесячным кровопотерям.
Признаки хронического лейкоза
Этот раковый вид патологии крови вначале не имеет выраженной симптоматики. Только в анализе крови можно увидеть зернистые лейкоциты и гранулоциты.
На других сроках проявление рака имеет следующие признаки:
- Интоксикация организма;
- Количество бласты увеличено;
- Поражение лимфатической системы.
Признаки, характерные для лимфомы:
- Лимфоузлы увеличены в размере, но болевого синдрома нет и со временем они не приобретают свой прежний вид;
- Функции ЖКТ ухудшаются;
- Повышенная потливость;
- Общая слабость.
Симптомы множественной миеломы:
- Повышенное СОЭ;
- При движении появляется ощущение боли в позвоночнике, ребрах;
- Кости могут разрушаться;
- Нарушения в работе почек;
- Вязкость крови завышена;
- Возможно притеснение спинного мозга;
- Потеря веса;
- Повышенная сонливость;
- Исхудание тела.
На поздней стадии рака крови начинают проявляться такие признаки, как:
- Сильный болевой синдром в зоне брюшины, сердца;
- Ощущение сдавливания в груди;
- Хрипы;
- Судороги;
- Тахикардия;
- Изменение в сознании – безразличие, тревожность;
- Частые обмороки.
Важно! При обнаружении вышеперечисленных симптомов следует незамедлительно обратиться к врачу.
Лабораторная диагностика
Так как по анализу крови определить рак (т.е. гемобластоз) реально, то первым делом берут кровь из пальца и смотрят под микроскопом.
Определяющий признак — наличие многочисленных (более 10% от общего количества клеток) бластных форм.
Важно! При остром лейкозе будет выражен «лейкемический провал» — отсутствие промежуточных дифференцированных форм в крови.
Но анализ крови при раке хоть и информативен, но не является определяющим. Окончательный вердикт с указанием конкретного типа гемобластоза выносит аспирационная биопсия — взятие пунктата костного мозга из тазовой кости. Иногда имеет место трепанационная биопсия (материал берут из грудины).
То, какие показатели крови будут страдать при гемобластозе, зависит от степени угнетения той или иной части кроветворного ростка.
Рекомендуем также обратить внимание на статью: «Скорость оседания эритроцитов (СОЭ) при онкологии».
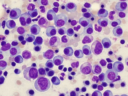
Многочисленные бласты в мазке крови
Рекомендуем изучить по данной теме также:
Читайте также: Пункционная (прицельная) биопсия, как проводится и какие органы исследуют при помощи данной процедуры?
Химиотерапия как способ лечения острого миелобластного лейкоза
Как правильно сдавать анализ при подозрении на рак
Для того чтобы установить возможную вероятность онкологического заболевания по результатам того, какой анализ крови выявлен, необходимо правильно сдать биоматериал для исследования.
Общие правила перед забором:
Тромбоциты при онкологии – показатели
- откажитесь от приема лекарств не меньше, чем за 14 дней до процедуры;
- за несколько дней до процедуры не употребляйте в пищу жареное, жирное и алкогольные напитки;
- воздержитесь от курения хотя бы за несколько часов до проведения анализа;
- как минимум 30 минут до процедуры проведите в состоянии полного покоя, без физических и психических нагрузок;
- перед общим анализом последний прием пищи должен быть не позднее, чем за 4 – 5 часов до забора, желательно за 8 часов;
- перед анализом крови на биохимию воздержитесь от еды на 8 – 12 часов, (лучше всего проводить исследование утром, натощак).
Лечение и прогноз
Излечим ли рак крови полностью — вопрос, много лет заставляющий хвататься за голову и врачей, и пациентов. У детей при своевременном лечении больше шансов добиться стойкой ремиссии. У пожилых людей, заболевающих после 69 лет, шансы на благоприятный прогноз гораздо ниже.
Химиотерапия поможет побороть рак крови. Излечим или нет он окончательно — никогда неизвестно, все очень индивидуально. К сожалению, летальность при гемобластозах высока.
Химиотерапия при раке крови
Сколько живут люди с раком крови, зависит от:
- вовремя назначенного или не назначенного лечения;
- общей выносливости организма и состояния иммунитета;
- наличия сопутствующей патологии;
- запущенности и степени метастазирования опухолевого процесса.
Про
Показания для проведения исследования
Для того чтобы не пропустить начало любого заболевания, в том числе онкологического, при любом из симптомов, описанных ниже, необходимо сдать кровь на исследование. Основными показаниями к его проведению являются:
- не прекращающиеся воспалительные заболевания, в том числе хронические;
- при недомогании не помогают привычные препараты;
- значительное снижение иммунитета;
- частое беспричинное повышение температуры;
- резкое похудение;
- непривычная реакция на вкусы и запахи;
- отсутствие аппетита;
- частые боли без причины;
- постоянная усталость.
Описание болезни
Рак крови – это обиходное название группы заболеваний, которые врачи обычно именуют гемобластозами. Они могут иметь несколько разные симптомы и у каждой разновидности заболевания могут быть свои отличия. Однако их объединяет одно – механизм их возникновения. Связан он с нарушением гемопоэза – процесса создания новых клеток крови – красных кровяных телец (эритроцитов), либо белых кровяных телец (лейкоцитов и лимфоцитов). Процесс гемопоэза очень сложный, и в ходе его зародыши кровяных клеток (стволовые клетки) претерпевают множество трансформаций. В какой-то момент из-за мутации в ДНК стволовых клеток этот процесс может нарушиться, и в результате вместо нормальных клеток (лейкоцитов, эритроцитов и тромбоцитов) будут появляться клетки, не способные выполнять свои функции, а способные лишь неограниченно делиться.
В итоге кровь уже не может в полной мере выполнять свои основные функции – обеспечение тканей кислородом и защита организма от инфекций. Признаками подобного процесса являются ослабление здоровья, учащение различных инфекционных заболеваний, возникновение анемии. Но более того, дефектные клетки крови могут атаковать здоровые ткани, прежде всего, ткани костей, а также выделять токсичные вещества. По всему организму могут наблюдаться скопления дефектных клеток. Об этом могут свидетельствовать такие признаки, как сильнейшие боли и интоксикация организма. Нарушается работа основных органов – сердца, головного мозга, печени и почек.
Врачи различают два типа лейкозов – острые и хронические. Основная разница между этими типами – в скорости развития симптомов заболевания. Острые лейкозы развиваются в течение нескольких недель или месяцев, а хронические могут прогрессировать в течение долгих лет. При этом пациент может и не наблюдать никаких видимых признаков болезни. Хронические и острые лейкозы различаются по своей этиологии и не могут переходить друг в друга.
Также в одних случаях патологический процесс развивается в основном в костном мозге, а в других случаях в лимфатических узлах. Последняя разновидность заболевания называется лимфомой. Лимфомы являются регионарными заболеваниями, в отличие от лейкозов, носящих системный характер.
Острые лейкозы делятся на:
- монобластные,
- лимфобластные,
- миеломонобластные,
- эритромиелобластные,
- миелобластные,
- недифференцированные,
- мегакариобластные.
Чтать также: Алкогольный психоз сколько длится
В случае хронических лейкозов принята следующая классификация:
- миеломная болезнь,
- базофильный лейкоз,
- миелоцитарный лейкоз,
- эозинофильный лейкоз,
- миеломоноцитарный лейкоз,
- нейтрофильный лейкоз,
- миелолейкоз,
- болезнь Сезари,
- эссенциальная тромбоцитопения,
- моноцитарный лейкоз,
- эритремия,
- лимфолейкоз,
- гистиоцитоз Х,
- болезнь тяжелых цепей Франклина,
- макроглобулинемия Вальденстрема.
Самым распространенным заболеванием из группы хронических лейкозов является лимфолейкоз, который чаще всего наблюдается у взрослых людей пожилого возраста.
Терапия в лечении лейкемии
Химиотерапия является серьезной нагрузкой для ослабленного болезнью организма. Большинство смертей после ее начала связано с ее осложнениями, связанными с пониженной стойкостью. Лечение включает в себя меры профилактики: помещение больных в стерильные условиях и введение бактерио- и фунгицидов.
С другой стороны, больные подвергаются тромбоцитопении, ведущий к кровотечениям, которые являются второй по распространенности (после инфекций) причиной смерти.
Для профилактики назначают препараты, повышающие свертываемость крови или радикальные концентрат тромбоцитов. Вводятся также лекарства, помогающие восстановить правильную выработку крови. Особое внимание обращается на правильное питание пациента. Больных окружают особой опекой, имеющей ключевое значение в эти трудные времена.
Профилактика заболевания
Чтобы снизить риск появления лейкоза, необходимо соблюдать следующие рекомендации:
- откажитесь от вредных привычек;
- больше занимайтесь спортом и проводите время на свежем воздухе;
- избегайте возможного облучения;
- соблюдайте нормы нахождения на солнце;
- тщательно выбирайте продукты питания, увеличьте употребление свежих овощей и фруктов;
- старайтесь избегать работы на вредном производстве;
- ежегодно проходите профилактические проверки у врачей и сдавайте общий анализ крови.
Ежегодная сдача анализов — это не просто советы врачей
Очень важно проходить периодические обследования у разных специалистов. Базовым набором для каждого человека должна стать сдача общего анализа крови, мочи и кала
Уже этих трёх обследований будет достаточно для первичной оценки здоровья. Работая в онкологической клинике, мы обязаны были раз в год проходить комплексный профилактический осмотр. На одном из них у моей коллеги и был обнаружен лейкоз. Она не испытывала никаких серьёзных симптомов, не чувствовала дискомфорта, была достаточно жизнерадостной и энергичной. Единственное, что все замечали — это немного бледная кожа. К сожалению, эта её особенность в дальнейшем оказалась единственным видимым симптомом очень страшной болезни.
Лейкоз — очень серьёзный диагноз, который требует моментальных действий как от пациента, так и от врача. Ни в коем случае нельзя медлить, необходимо при первых признаках заболевания пройти все диагностические мероприятия и немедленно приступить к лечению. Конечно, как и любая онкология, лейкоз имеет неоднозначный прогноз. Но даже при самых плохих показателях нельзя падать духом и опускать руки
Очень важно бороться и настраиваться на положительный результат лечения
- Заболевания на букву А авитаминоз
- ангина
- анемия
- аппендицит
- артериальное давление
- артроз
хламидиоз
цервицит
чесотка
- Анализ крови
- Анализ мочи
- Боли, онемения, травмы, отеки
- Буква А
Аллергия - Буква Б
- Буква Г
- Буква К
- В
- Д
- Достижения медицины
- З
- Заболевания глаз
- Заболевания ЖКТ
- Заболевания мочеполовой системы
Мочеполовая система - Заболевания органов дыхания
Кашель - Заболевания при беременности
- Заболевания сердца и кровеносной системы
- Заболевания у детей
- Здоровье женщины
- Здоровье мужчины
- Интересные факты
- Инфекционные заболевания
- Кожные заболевания
- Красота
- Л
- Лекарственные растения
- ЛОР-заболевания
- М
- Неврология
- Новости медицины
- П
- Паразиты и человек
- Р Разное_1
- Рак
Разное_2
➤
Особенности начальных проявлений у детей
Иммунная система ребенка не столь окрепшая и неуязвимая, как у взрослого человека. Именно по этой причине сопротивляемость детского организма болезням и вирусным инфекциям на порядок ниже.
Да и симптомы серьезных патологий у этой категории пациентов склонны к более глубоким и ярким проявлениям. Так, при детском лейкозе к общим признакам его наличия могут добавиться специфические, свойственные неокрепшему молодому организму:
- нарушение памяти
– происходит вследствие недостаточного кровоснабжения клеток головного мозга ребенка. Дефицит кислородного питания более детально рассмотрен в разделе взрослой симптоматики; - ранки, царапины и ссадины
– их становится намного больше, а процесс заживления – долговременным и сопряженным с воспалениями, инфицированием поверхности, нагноениями и абсцессами, когда незначительная травма кожных покровов может привести к серьезным проблемам; - внешний вид
– дети, больные раком крови, уже с момента формирования патологии становятся бледными. Часто под глазами у них можно наблюдать темные круги, которые не исчезают даже с момента пробуждения;
частые носовые кровотечения
– явление возникает без видимой причины. При этом кровь сложно остановить, что пугает ребенка и негативно сказывается на его психологическом состоянии. Причина – низкое качество свертываемости крови, обусловленной нарушением нормальной концентрации основных ее компонентов.
Многие родители делают большую ошибку, купируя явление сосудосуживающими препаратами, типа Аскорутина, размывая таким образом, симптоматику, и усложняя процессы диагностирования заболевания и выявления истинной причины частых кровотечений носом;
более высокая, чем у взрослого больного, температура тела
и слишком сильная потливость. Часто такие дети просыпаются практически в мокрой постели и нуждаются в замене белья несколько раз за ночь.
Стоит отметить, что кроме специфических, свойственных только пациентам данной возрастной группы, признаков наличия лейкоза, остальная проявляющая симптоматика у таких детей более яркая и выраженная, нежели у взрослых.
В следующем видео пациент рассказывает о своих ощущениях при начале заболевания раком крови:
Читайте также: Йодомарин: противопокозания, побочные действия, аналоги и инструкция по применению.
Если вы нашли ошибку, пожалуйста, выделите фрагмент текста и нажмите Ctrl+Enter
.
103583
Онкомаркеры при раке легких
Для обнаружения онкомаркеров на легочный рак необходимо сдать биоматериал из вены, утром натощак. За несколько дней до процедуры необходимо воздержаться от употребления алкоголя. Незадолго до этого, не рекомендуется делать массаж, проходить физиотерапию, посещать баню, делать рентгенографию и любую другую инструментальную диагностику.
При проведении лечения, исследования на онкомаркеры делают один раз в три месяца. Если концентрация антигенов не уменьшается, онколог проанализирует результаты, и, возможно, изменит методы лечения.
Миеланома
Миеланомой называют онкологическое заболевание плазмы крови. Этот вид рака крови отличается образованием чрезмерного количества ненормальных плазматических клеток. Первые стадии болезни обычно проходят бессимптомно. Со временем, когда миеланома прогрессирует, и изменения начинают задевать другие важные органы, возможны нарушения функций почек.
Среди других возможных симптомов выделяют болезненные ощущения в грудном отделе позвоночника, быструю утомляемость (связана с недостатком железа), одышку, боль за грудиной, помрачение сознания (из-за сгущения крови). Некоторые симптомы, возможные при лейкозе, встречаются и при миеланоме. Это общая слабость, онемение или покалывание в разных участках тела, частая заболеваемость инфекционными болезнями.
Анализ крови на выявление онкомаркеров
Как определить рак крови (лейкемию) с помощью анализов? Необходимо сдать кровь на присутствие онкомаркеров. Данный вид исследования позволяет достаточно точно определить онкологию, поскольку онкомаркеры у здорового человека отсутствуют, либо появляются в незначительных количествах. Кроме того, они крайне специфичны, и каждый вид онкомаркера определяется при заболевании определенного органа.
Самым важным показателем при определении рака является не само присутствие в крови онкомаркеров, а изменение их концентрации.
На развитие лимфомы или лимфоцитарной лейкемии указывает повышенное содержание онкомаркера Б-2-МГ. Для получения более полной информации и отслеживания динамики изменения показателей, анализ следует сдавать несколько раз, через определенные временные промежутки. Также, одной из причин необходимости проведения нескольких анализов является то, что наличие онкомаркеров может быть особенностью организма.
Разновидности патологии крови
Рак — это обобщенное название злокачественного размножения одной из клеток крови. Так его стали называть пациенты, врачи пользуются другими определениями. Рак в крови нельзя увидеть или удалить хирургическим путем. Это особая форма онкологических заболеваний, которая имеет несколько видов. Классификация этого заболевания осуществляется по виду мутирующих клеток. Сегодня врачи выделяют следующие виды онкологии крови:
- Хронический лейкоз (миелолейкоз, лимфолейкоз, моноцетарный лейкоз, Мегакариоцитарный лейкоз).
- Острый лейкоз (лимфобластный лейкоз, миелобластный лейкоз, монобластный, мегакариобластный, Эритромиелобластный).
- Парапротеинемические гемобластозы (миелома, нарушения тяжелых цепей, Макроглобулинемия).
- Гематосаркома (лимфлоидная, иммунобластная, гистиоцитарная)
- Лимфома (Ходжкина, В-клеточная, Неходжкинская).
- Ангиома.
- Миелома.
- Лимфосаркома.
Каждое из этих заболеваний называется по-разному и имеет свои характерные черты течения и развития. Однако для лечения каждого из них огромное значение имеет ранняя диагностика.
Следует отметить, что хроническая форма не может перейти в острую и наоборот.
От того какой вид рака обнаружен у пациента зависят и дальнейшие прогнозы врачей. Рак в крови сколько живут? На этот вопрос врачи отвечают, что у пациентов с хронической формой прогнозы более благоприятны. По статистике рак в крови у женщин обнаруживается чаще, чем у мужчин. В группу риска входят пожилые пациентки, у которых может развиться миелома. Миелома опасна множественными очагами опухолей.
Питание при лейкозе
Так как при лечении лейкоза пациент теряет много энергии, проявляются различные побочные эффекты от облучения, и надо полноценно питаться, разнообразить пищу витаминами. Рекомендуется отказаться от употребления жареной, копченой пищи, алкоголя, употреблять минимум соли. Также желательно не потреблять кофеин, чай, кока-колу, так как эти напитки мешают усвоению железа, которого так не хватает при лейкозе. В рацион питания обязательно надо включить продукты, которые богаты антиоксидантами: яблоки, морковь, чеснок, ягоды.
Симптомы лейкемии
Признаки лейкоза обусловлены количеством пораженных клеток и стадией их распространения на другие органы. На первых стадиях хронического лейкоза организм не поражен большим количеством раковых клеток, и таким образом, симптомы долгое время не проявляются. Диагноз зачастую ставится случайно на профилактическом осмотре.
Из-за отсутствия специфической симптоматики пациенты, как правило, поздно обращаются к врачу. Необходимо обращать внимание на следующие симптомы:
- Регулярные инфекционные заболевания, среди которых частые ангины, герпес, бронхит, пневмония и другие.
- Увеличение лимфатических узлов, зачастую это область подмышечных впадин и шеи.
- Температура и сильная потливость во время сна.
- Бессилие, астения.
- Боли в суставах и костях.
- Кровоточивость десен, синяки и кровянистые точки, кровотечение из носа. Все эти симптомы вызваны плохим свертыванием крови.
- Наблюдаются боли в правом и левом подреберье (если поражены печенка и селезенка)
Поскольку специфических симптомов лейкоза не существует, выделяют «симптомы тревоги», при которых пациенту необходимо обратится к специалисту:
- Повышенная температура.
- Потеря веса, при обычном режиме дня.
- Повышенная потливость, особенно во время сна.
- Боли в области живота, спины и в костях.
- Регулярные инфекционные заболевания.
- Увеличение лимфа узлов.
- Головная боль, проблемы с равновесием, затуманенное зрение.
Часто лейкоз проявляется, только когда уже есть его осложнения (поражение внутренних органов, гиперплазия костного мозга). Одним из грозных осложнений лейкоза есть нейролейкоз. Это поражение черепных нервов, мозговых оболочек, нервных стволов и структур головного мозга метастатическими клетками. Нейролейкоз значительно отягощает прогноз на выздоровление. Характерные симптомы нейролейкоза:
- Судороги.
- Головные боли.
- Плохое зрение, а именно ощущение пелены перед глазами.
- Проблемы с координацией.
- Тошнота, рвота.
- Отек рук и отечность в районе паха.
- Спутанность рассудка.
- Отдышка.
Последняя новость относительно излечимости от гемобластоза
По самым последним данным, исследователи изобрели препарат, который пытается блокировать фермент, ответственный за метастазы. Переизбыток белка, ответственного за расширение и увеличение раковых клеток, возможно, будут заблокирован.
Несколько лет назад только мечтали о излечении гемобластоза. Но, по словам специалистов-практиков и преподавателей, участвующих в научных исследованиях, первая стадия гемобластоза может быть излечима. Диета, богатая зеленью и антиоксидантами (свежие овощи и фрукты, грецкие орехи, фундук, миндаль) поможет излечить заболевание.
Практики и сторонники альтернативных терапевтических мер для лечения рака крови излечивают даже рак второй и третьей стадии. Необходимо держаться подальше от разрушительного влияния гербицидов и химических веществ. Есть потребности, чтобы свести к минимуму рискованные радиации и заменить их здоровой пищей, отдыхом, регулярными физическими упражнениями.










